Wie fit ist Ihre Leber?

Die Leber ist das größte und wichtigste Stoffwechselorgan unseres Körpers. Sie reguliert unseren Eiweiß-, Fett- und Zucker- stoffwechsel und dient als Filter-
und Entgiftungsstation und leistet bei der Verdauung wichtigste Dienste. Einschränkungen in der Leberfunktion führen zu Verdauungsbeschwerden, Müdigkeit,
Erschöpfungszuständen.




ALARMIEREND: FETTLEBERERKRANKUNG IM VORMARSCH

Die Fettleber ist jetzt schon die häufigste Leberkrankung, jeder 4. Mensch auf der Welt ist betroffen. Hierbei kommt es zur Fetteinlagerung in die Leberzellen, die im Verlauf sich entzünden können und absterben, dieser Prozess führt zur Vernarbung bzw. Fibrose der Leber und mündet in die Leberzirrhose. Von 100 Patienten mit Fettleber entwickeln 5 im Verlauf eine Leberzirrhose, 2 werden hierdurch sterben bzw. transplantiert. Die Fettleber wird in den kommenden 10 Jahren weltweit die Hauptursache von Lebertransplantionen werden. Ziel ist es den aggressiven Verlauf der Fetttleber, den Übergang in die Fettleberhepatitis frühzeitig zu erkennen und entsprechend zu therapieren


Modernste Technologien in unserem Zentrum
LIMAX: Neueste Innovation

Neben neuesten Laboruntersuchungen führen wir den weltweit einzigartigen Limax Test durch. In Hessen sind wir die Ersten, die über diesen Test verfügen, der sehr
sensitiv und schonend die Leberkapazität misst und Aussagen über die aktuelle Leberfunktion geben kann. Herkömmliche Laboruntersuchungen sind hierzu nicht in der
Lage. Der LiMAx-Test (Liver Maximum Capacity Test) ist der einzige Test, mit dem die aktuelle Leberfunktionskapazität des Patienten über den Cytochrom P450
Stoffwechselweg bestimmt werden kann. Die Durchführung erfolgt über die Messung der Ausatemluft mittels spezieller Lasertechnik.






Labordiagnostik

Für die Analyse von Blut- untersuchungen arbeiten wir mit einem der Spitzenlabors in Europa zusammen, wir können eine sehr umfassende Diagnostik anbieten. In der
Labordiagnostik lässt sich feststellen ob eine Lebererkrankung vorliegt und welche Ursache diese hat z.B. infektiöse Lebererkrankungen wie Hepatitis B oder C,
metabolische Erkrankungen wie Fettleber, usw. Neben Routineuntersuchungen können auch aufwen- dige Molekularbiolog-ische Untersuchungen wie PCR-Diagnostik
und Genanalysen anfordern




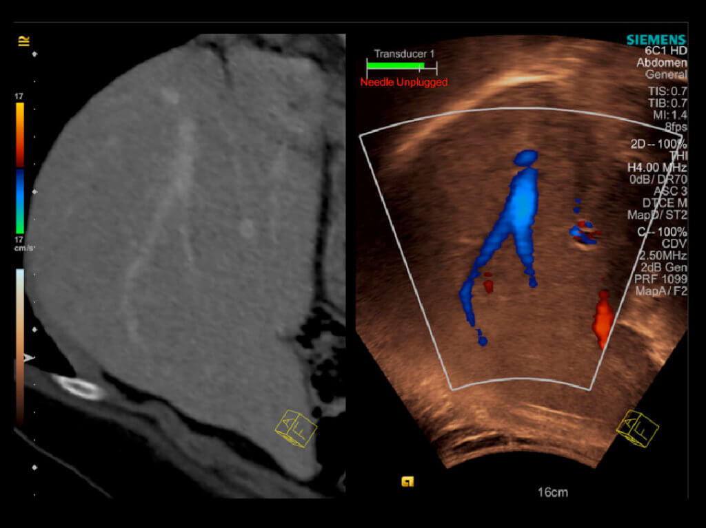
NEUESTE TECHNIKEN IN DER ULTRASCHALLDIAGNOSTIK

Das Leberpaket des Siemens Acuson S 2000 Helx Evolution Ultraschallsystem kombiniert modernste Bildgebungsmodalitäten für Screening, Diagnostik, Staging und das
Monitoring von Lebererkrankungen. Mit dem Elastographiemodul ist es möglich nichtinvasiv Stadien der Leberfibrose zu erfassen. CEUS, ist auch ein neues Verfahren, wo
mit speziellen Ultraschallgeräten besondere Kontrastmittel, sogenannte „Echosignalverstärker“, verwendet werden können. Da sie kein Jod enthalten, führen sie nicht zu
den vom Röntgen bekannten allergischen Reaktionen und können auch bei bekannter Kontrastmittel- oder Jodallergie eingesetzt werden. Der Einsatz von Ultraschall-
Kontrastmitteln hat zum Beispiel den Nachweis von kleinen Lebertumoren verfeinert. Auch die Unterscheidung zwischen gutartigen und bösartigen Tumoren ist dadurch
treffsicherer und kann vielen Patienten eine Punktion ersparen.




Elastograhie-Fibroscan

Eine chronische Lebererkrankung egal welcher Genese, ob durch Alkohol, Hepatitis-Viren, Stoffwechsel- bzw. Autoimmunerkrankungen, Fettleber, Chemikalien bzw.
Medikamente bedingt, kann zu einer Leberzirrhose führen. Die Leberzirrhose, das ist ein knotiger Umbau der Leber, dies ist bedingt durch Untergang von Leberzellen,
die durch Narbengewebe ersetzt werden. Bis ein kompletter Umbau stattgefunden hat durchläuft die Leber verschiedene Stadien mit Narbenbildung, den sogenannten
Fibrosestadien.

Die frühzeitige Erkennung der Fibrose ist wichtig um therapeutische Maßnahmen zu ergreifen, die das Voranschreiten der Grunderkrankungen stoppen sollen. Die
betroffenen Patienten merken in der Regel nichts von ihrer Erkrankung, auch im fortgeschrittenem Stadium ist die Leberzirrhose schmerzfrei. Die beginnende Zirrhose ist
durch die üblichen bildgebenden Verfahren (CT, MRT, Sonographie) aber auch durch Bluttests in der Regel nicht erkennbar. Die bisher übliche und weit verbreitete
Maßnahme der Fibroseerkennung war die Leberpunktion, bei der mittels einer Nadel Lebergewebe entnommen und hiernach feingeweblich (histologisch) untersucht
wurde, dieses Verfahren erlaubt eine ziemlich exakten Beurteilung der Leber bezüglich des Fibrosierungsgrades, d.h. das Ausmaß der Leberschädigung.

Ein neues sogenanntes Elastographieverfahren, was unserer Praxisklinik seit 1 Jahr zur Verfügung steht, erlaubt uns nicht invasiv, schmerzfrei auf sanfte Art den Ausmaß
der Leberschädigung abzuschätzen, dieses erfolgt durch Messung der Leberelastizität, die bei zunehmender Vernarbung abnimmt. Die Untersuchung erfolgt ambulant mit
einem speziellen Schallkopf, der in Leberhöhe auf der Haut aufgesetzt wird. Im High-Tech-Verfahren wird über Schallwellen die Verformbarkeit der Leber gemessen und
als quantitativer Wert in der Einheit Kilopascal (Kpa) angegeben. Die Elastographie ist auch Ideal um den Verlauf einer chronischen Lebererkrankung zu beurteilen.



Pankreas (Bauchspeichedrüse)

Das Pankreas ist ein recht versteckt liegendes Organ unterhalb des Magens im sog. Retroperitonealraum. Die Hauptaufgabe ist zum Einen die Produktion von
Verdauungsemzymen, zum Anderen die Bereitstellung von zahlreichen Hormonen, das wichtigste ist das Insulin, welches den Zuckerstoffwechsel reguliert.




Pankreaskarzinom (Bauchspeicheldrüsenkrebs)

Das Pankreaskarzinom ist die dritthäufigste Krebsart im Magen-Darm-Trakt, betroffen sind hauptsächlich Menschen oberhalb des 60. Lebensjahres. Leider ist die Diagnosestellung erst häufig im fortgeschrittenen Stadium, da die Beschwerden erst sehr spät auftreten, wie Gelbsucht, Gewichtsverlust oder Oberbauchschmerzen. Risikofaktoren, die ein Pankreskarzinom begünstigen sind wie so häufig Rauchen, Übergewicht, chronischer und übermäßiger Alkoholkonusm, welches eine Bauchspeicheldrüsenentzündung bewirkt, Diabetes mellitus Typ 2, aber auch genetische Dispositionen erhöhen das Risiko des Pankreskarzinoms. Die Überlebensrate steigt mit frühzeitiger Diagnosestellung.


EUS in unserem Zentrum Frühzeitige Diagnosestellung beim Pankreaskarzinom

Das wohl etablierteste Verfahren zur frühzeitigen Diagnosestellung bei Pankreastumoren ist die endoskopische Ultraschalluntersuchung (EUS), bei der am Endoskop ein Ultraschallkopf angesetzt ist, mit der die Drüse bis auf wenige Millimeter genau überprüft werden kann, gerade bei zystischen Tumoren ist die EUS den anderen überlegen, weiterhin hat es keine Strahlenbelastung wie die Computertomographie.


NEUESTE TECHNIKEN IN DER ENDOSONOGRAPHIE (EUS)

Das neue Hitachi-Aloka System bietet modernste Möglichkeiten in der Endosnographie, hierbei können neben der hochauflösenden Ultraschadiagnostik auch
Elastographiemodule eingesetzt werden, womit Gewebeveränderungen leichter einzustufen sind. Auch Untersuchungen mit sog. Echosignalverstärker (CEUS) sind
möglich, bei dieser Methode werden, wie bei der Computertomographie (CT) Kontrastmittel verwendet allerdings ohne Jod, da sie kein Jod enthalten, führen sie nicht zu
den vom Röntgen bekannten allergischen Reaktionen und können auch bei bekannter Kontrastmittel- oder Jodallergie eingesetzt werden, ein weiterer Vorteil ist, das beim
Ultraschall keine radioaktive Strahlung verwendet wird. Der Einsatz von Ultraschall-Kontrastmitteln erhöht die diagnostische Qualität beim Nachweis von Tumoren, es dient
unter Anderem zur Einschätzung der Gut- bzw. Bösartigkeit von Tumoren ist.



Leber/Pankreas
Praxisklinik für Gastroenterologie
Große Bockenheimer Straße 35 (Eingang über Goethe-Passage)
60313 Frankfurt am Main

Tel.   069 29 25 26
Fax   069 29 25 15
E-Mailinfo@gastroenterologie-frankfurt.com

Sprechzeiten

 

Leistungsspektrum

 

 

 

  •     Mo

8.00-13.00 und 14.00-16.00 

  • Moderne Gastroenterologie

 

  •     Do

8.00-13.00 und 14.00-18.00

  • Diagnostische Verfahren

 

  •     Mi

8.00-14.00

  • Funktionstests

 

  •     Do

8.00-13.00 und 14.00-18.00

  • Therapeutische Verfahren
  •     Fr

8.00-13.00 und 14.00-16.00

 

  • Krankheitsbilder

 

 

 

  • Prรคvention

 

 

  • Endoskopie
    Sitemap          Streitbeilegung          Datenschutz          Impressum